Treat Common Conditions with Stannous Fluoride

The role of stannous fluoride in maintaining oral health

Research has shown that good oral health can have a positive impact on overall health.1 It is no secret that maintaining good oral health is accomplished through an at home oral hygiene routine that includes the use of a fluoride toothpaste. One differentiating factor among oral care products such as toothpaste is the active ingredient, fluoride. The most commonly used fluoride sources today are sodium fluoride, sodium monofluorophosphate, and stannous fluoride.3,4 The first 2 forms are effective sources of fluoride ions that remineralize and strengthen weakened enamel to fight cavities. With added ingredients such as potassium nitrate or triclosan, products containing these types of fluorides can also fight sensitivity or gingivitis, respectively.3 By comparison, stannous fluoride not only delivers cavity fighting fluoride, but it also has antibacterial properties that fight plaque and gingivitis, and it provides an antisensitivity mechanism of action. Stannous fluoride has both bactericidal and bacteriostatic properties, which fight plaque and treat/prevent gingivitis.5,6 The stannous fluoride also deposits a protective mineral barrier over exposed dentinal tubules to help prevent sensitivity pain from triggers such as hot or cold liquids and foods.7 The anti-plaque, anti-gingivitis, anti-sensitivity, and anti-cavity efficacy of stannous fluoride has been demonstrated in research. Stannous fluoride is the only fluoride source that provides protection against all 3 oral health conditions of plaque/gingivitis, tooth sensitivity, and cavities.8

CREST’S PATENTED STANNOUS FLUORIDE FORMULA TREATS:

Gingivitis jpg
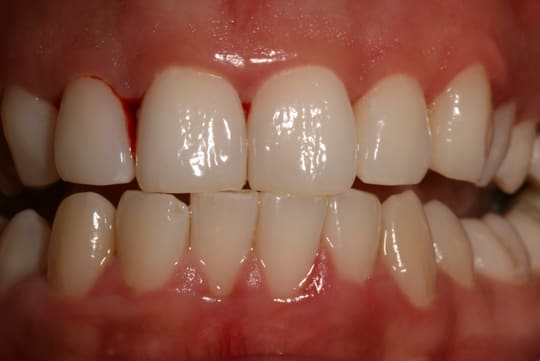
GINGIVITIS
Caries jpg
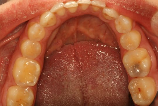
CARIES
erosion-3 jpg
EROSION & SENSITIVITY
halitosis-coating-on-tongue jpg jpg
HALITOSIS
Supra and Subgingival Calculus jpg
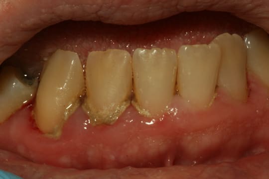
CALCULUS
Mild-fluorosis jpg
STAIN  WHITENING
OTHER CREST PRODUCTS CONTAINING STANNOUS FLUORIDE

References
  1. 1. Griffin SO, Jones JA, Brunson D, Griffin PM, Bailey WD. Burden of oral disease among older adults and implications for public health priorities. Am J Public Health. 2012;102(3):411418.
  2. Oral care. Pharmacy Times OTC Guide. www.otcguide.net/conditions/oralcare/ToothpasteGeneralUse. Accessed June 2014.
  3. Lippert F. An introduction to toothpaste its purpose, history and ingredients. Monogr Oral Sci (Basel, Karger). 2013;23:114.
  4. Tenuta LM, Cury JA. Laboratory and human studies to estimate anticaries efficacy of fluoride toothpastes.Monogr Oral Sci (Basel, Karger). 2013;23:108124.
  5. Ramji N, Baig A, He T, et al. Sustained antibacterial actions of a new stabilized stannous fluoride dentifrice containing sodium hexametaphosphate. Compend Contin Educ Dent. 2005;26(9, suppl 1):1928.
  6. White DJ. Effect of a stannous fluoride dentifrice on plaque formation and removal: a digital plaque imaging study. J Clin Dent. 2007;18(1):2124.
  7. Schiff T, Saletta L, Baker RA, Winston JL, He T. Desensitizing effect of a stabilized stannous fluoride/sodium hexametaphosphate dentifrice. Compend Contin Educ Dent. 2005;26(9, suppl 1):3540.
  8. Baig A, He T. A novel dentifrice technology for advanced oral health protection: a review of technical and clinical data. Compend Contin Educ Dent. 2005;26(9, suppl 1):411.